GUSI-KU TURUN? KOK BISA?
Melania P (21.66), Meylisa GKT (21.67), Shania A (21.80), Sonya D (21.81)
Editor: Cakrawartya, drg., MMRS.
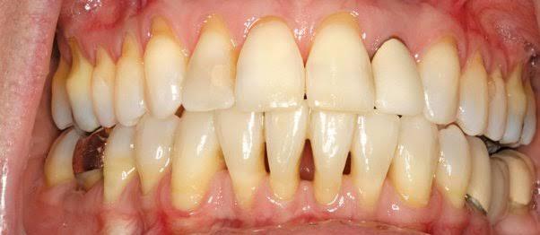
Gusi turun atau yang dalam dunia medis dikenal sebagai resesi gingiva. Resesi gingiva adalah suatu kondisi ketika gusi merosot atau turun ke bawah dari permukaan gigi sehingga memperlihatkan permukaan akar gigi yang akan mengganggu estetika. Kondisi ini tersebut merupakan salah satu gejala dari penyakit gusi (periodontitis). Resesi gingiva adalah masalah yang umum pada orang dewasa di atas usia 40 tahun. Namun, kondisi ini juga dapat terjadi pada usia remaja. Gusi turun dapat diatasi dengan mengurangi faktor risikonya.
Teknik menyikat gigi yang salah dapat berpotensi menyebabkan terjadinya gusi turun atau resesi gingiva. Selain teknik, penggunaan jenis sikat gigi yang salah pun dapat berkontribusi. Selain kedua hal tersebut, kuman pada plak gigi dapat menyebabkan peradangan pada gusi. Penambalan gigi yang tidak tepat serta pergerakan gigi pada saat perawatan behel dapat menjadi pemicu resesi gingiva.

Berbagai masalah dapat timbul akibat gusi turun, yaitu masalah estetik, karies pada permukaan akar gigi, dan gigi menjadi sensitif yang menyebabkan pasien merasa tidak nyaman. Oleh karena itu, umumnya perawatan yang dilakukan bertujuan memperbaiki estetik dan menghilangkan keluhan utama yang dirasakan pasien. Rencana perawatan sangat bervariasi tergantung dari penyebabnya.
- Gusi yang mengalami penurunan (resesi) perlu dilakukan perawatan. Dokter gigi akan mengawali perawatan dengan melakukan pembersihan karang gigi dan penghalusan akar gigi yang terekspos / tidak tertutup lagi oleh gusi. Apabila tulang penyokong gigi dan gusi ini mengalami kehilangan / penurunan tinggi tulang yang ekstrim maka pembersihan dilakukan dengan membutuhkan pembedahan agar alat dapat mencapai saku gusi yang lebih dalam lagi. Setelah dilakukan pembersihan plak dan karang gigi pada permukaan luar gigi, akar gigi, dan saku gusi untuk memperbaiki estetika dapat dilakukan berbagai cara seperti gingivoplasty, gingival graft, dan artificial gingiva. Gingivoplasty adalah suatu prosedur pembedahan yang dilakukan untuk memperbaiki bentuk dan kontur gingiva. Gingival graft / cangkok gusi merupakan prosedur untuk memperbaiki penampilan gusi yang turun dengan menambahkan jaringan gusi pada daerah yang mengalami penurunan gusi. Jaringan gusi yang digunakan dapat diambil dari gusi di sekitar daerah tersebut atau mengambil sebagian gusi dari langit-langit mulut. Sedangkan artificial gingiva adalah gusi tiruan yang terbuat dari bahan silikon. Lakukan kunjungan rutin ke RSGMP Nala Husada minimal 6 bulan sekali.



